CT
三越厚生事業団では高性能CTを新しく導入しました
CTとは
CTとはX線装置とコンピュータを組み合わせた医療機器。X線を三六〇度回転しながら照射して人体の横断面を撮影、各方向からの像をコンピュータで処理して、その平面の画像を得る装置でComputed Tomographyの略語で、日本語ではコンピュータ断層撮影診断装置と言われています。


出典:東芝メディカルシステムズ株式会社

出典:ギモンらど!!
断層撮影という名前のとおり、本来は人間の(輪切りなどの)断面画像を得る技術です。左が健康診断などで撮る胸のレントゲン写真です。右が胸の断層(CT)写真です。
1回のCT検査で何百枚の画像が得られ、一回の検査で得られる情報量でいえば、圧倒的にCT画像のほうが優れているといえます。
1回のCT検査で何百枚の画像が得られ、一回の検査で得られる情報量でいえば、圧倒的にCT画像のほうが優れているといえます。
CTの撮影方法

レントゲン画像は、フィルムに身体を密着させて、離れたところからX線を照射し撮影されます。

CTの撮影の際は、寝台と呼ばれる検査用のベットに寝た状態で、ドーム状の装置内を移動し、X線を身体の周りを回転させながら照射し、撮影します。検査時間は10分~20分程です
これらの検査技術は単に断面画像として用いられるのみでなく、画像処理技術向上によって3次元グラフィックスとして表示されることも多くなってきている。


出典:AIC八重洲クリニック
どの様な方にCT検査を行うか
X線CTは短時間でほとんど苦痛なく検査ができ、それでいて多くの情報を得ることができることから、決して万能ではないものの、超音波検査と並び最もよく用いられる画像検査のひとつです。あらゆる領域における多種多様な疾患のスクリーニング・精査目的の検査として適応があります。
マルチスライスCT
三越厚生事業団では、それまでのCTでは、1回転で1スライスの断層画像の撮影しかできませんでしたが、1度に16枚(スライス)の断層画像を撮影することが可能なCT装置を導入しました。これにより、より精密な画像がえられ、詳細な立体画像の表現もできます

シングルスライスからマルチスライスへ
最新型マルチスライスCT導入による性能向上によりもたらされる具体的メリット
- 撮影速度の向上により、
心臓のような動きの激しい部位の撮影も可能になりました。これまで循環器撮影においては、検査のために入院し、血管造影検査(撮影部位に造影剤を投与するために、体内にカテーテルを侵入させる)を必要としていましたが、マルチスライスCTの進歩により外来検査が可能(詳細については、担当医にご相談ください。)となり、約3日かかった検査が30分で終了。 - 撮影画像の微細化により、
これまで発見しづらかった肺がんや動脈瘤などの早期発見に貢献します。 - 撮影時間の大幅な短縮により、
約13秒という従来の半分以下の時間で対象範囲の検査が可能になりました。これまでのように、検査時に30秒以上息をとめていただく負担がありません。 - 立体画像化による診断により、
より詳細な立体画像の作成により、平面画像では見つけにくかった患部の発見に貢献
| シングル | マルチ(16枚) | |
|---|---|---|
| 肺の撮影時間 | 30秒 | 13秒以下 |
| 心臓の撮影時間 | 撮影不可能 | 20秒以下 |

出典:健康医学予防協会
当診療所・健診センターではメタボリック検診の一環としてCTを活用した内臓脂肪検査も行っております。内臓脂肪は悪玉コレステロールを増やし、糖尿病、動脈硬化、高血圧などとも関連する重要な要素ですが、腹囲を計るだけでは内臓脂肪をダイレクトに知ることはできません。CTを用いて検査すれば、お腹を数スライススキャンするだけで的確に内臓脂肪量を計算でき、メタボリックの状態を確認し、将来のかかりやすい疾患をあらかじめ注意できるようになるだけでなく、半年から一年ごとに検査していくことで、生活指導に役立てることができます。
CTによる体脂肪計測を開始!

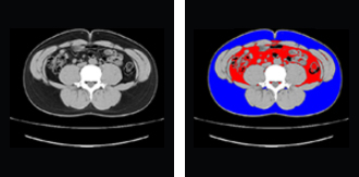
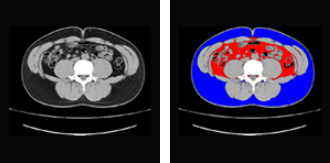
上の図はヘソ周りのCT画像です。
赤色が内臓脂肪、青色が皮下脂肪を示しています。
CT検査に新たに体脂肪の計測ができるようになりました。
CTでヘソ周りを1スライス撮影して、内臓脂肪と皮下脂肪を計測する検査です。内臓脂肪面積(左記画像赤色の部分)が100cm2以上となると内臓脂肪型肥満と言われます。更に脂質異常、高血糖、高血圧の内、2つ以上が該当するとメタボリックシンドロームとなり生活習慣病を合併するリスクが高まります。
CTでヘソ周りを1スライス撮影して、内臓脂肪と皮下脂肪を計測する検査です。内臓脂肪面積(左記画像赤色の部分)が100cm2以上となると内臓脂肪型肥満と言われます。更に脂質異常、高血糖、高血圧の内、2つ以上が該当するとメタボリックシンドロームとなり生活習慣病を合併するリスクが高まります。
生活習慣病等の対策に、ぜひご活用ください。






